PHARMAQ Analytiq har den siste tiden mottatt histologiprøver fra flere oppdrettsanlegg i Nord-Norge som er rammet av den pågående algeoppblomstringen. «Mange av prøvene viser tydelige gjelleskader, som kan hemme fiskens evne til å ta opp oksygen» sier Alf Seljenes Dalum, histopatolog hos Pharmaq Analytiq. «Skader assosiert med alger kan gi akutt dødelighet og ellers svekke fiskens evne til å tåle stress for de individene som overlever.»
PHARMAQ - Publisert 26.05.2025

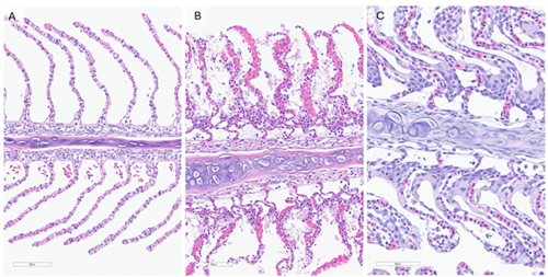
Bildet: Gjellehistologi, med (A) normale gjeller, (B) gjeller med akutte algeskader, og (C) gjeller med skader som har vart i få dager. Forandringer både i gjelle B og C vil medføre betydelig redusert gjellefunksjon.
«Mange av prøvene viser tydelige gjelleskader, som kan hemme fiskens evne til å ta opp oksygen,» sier Alf Seljenes Dalum, histopatolog hos Pharmaq Analytiq. «Skader assosiert med alger kan gi akutt dødelighet og ellers svekke fiskens evne til å tåle stress for de individene som overlever.»
Algeoppblomstringen har til nå vært svært alvorlig for oppdretterne som har blitt berørt, og har ført til høy dødelighet. Situasjonen skyldes en kombinasjon av våroppblomstring av de skadelige algene Chrysochromulina og Phaeocystis, som blir forsterket av lokale strømforhold.
For å undersøke betydningen av algeeksponering for fisken, og hvordan velferden hos gjenlevende fisk er i videre produksjon, er histologi et godt verktøy.
«Histopatologi går ut på å undersøke påvirkning eller skader i fiskens vev. Undersøkelsen er derfor svært godt egnet til å vurdere omfang av forandringer forårsaket av skadelige alger, og vil kunne gi et bedre beslutningsgrunnlag for videre håndtering,» forklarer Dalum.
Viktigheten av helhetlig analyse
Det er viktig å sammenstille histologiresultatene med vannanalyser for plankton tatt ut i nærområdet for å få konklusive resultater.
For mer informasjon, kontakt PHARMAQ Analytiq.
PHARMAQ er verdens ledende selskap innen vaksiner og innovasjon rettet mot akvakulturnæringen og er en del av Zoetis, verdens ledende selskap innen dyrehelse. Våre innovative fiskehelseløsninger inkluderer et bredt spekter som fiskevaksiner, terapiprodukter, vaksinasjonsmaskiner inkludert servicetjenester, forskning og analyser. Selskapet leverer miljøvennlige, trygge og effektive helseprodukter til den globale akvakulturnæringen ved hjelp av målrettet forskning og engasjerte medarbeidere. Produksjon, administrasjon, forskning og utvikling ligger i Norge og med global virksomhet i kommersielle oppdrettsmarkeder har PHARMAQ rundt 375 medarbeidere. Konsernets produkter markedsføres i Europa, Nord- og Sør-Amerika samt i Asia. For mer informasjon, se selskapets hjemmeside: www.pharmaq.com. Personvernerklæring Erklæring om informasjonskapsler (cookies) Bruksvilkår
Copyright © 2020 Zoetis LLC. Alle rettigheter forbeholdt.